Are you missing one or more teeth? A staggering 6.4% of Canadians have no teeth, and the number of people with one or more missing teeth is much higher. One option to replace these missing teeth is dental implants.
We’re going to explore the implant process, what costs are involved and who may or may not be a good candidate in the in-depth guide below.

What are Dental Implants?
Dental implants are considered a “medical device,” which we implant into your jaw and use to restore your smile. If you’re missing one or more teeth, we can use these devices to restore your missing tooth with a restorative option that looks and feels natural.
Dental implants consist of a few main parts:
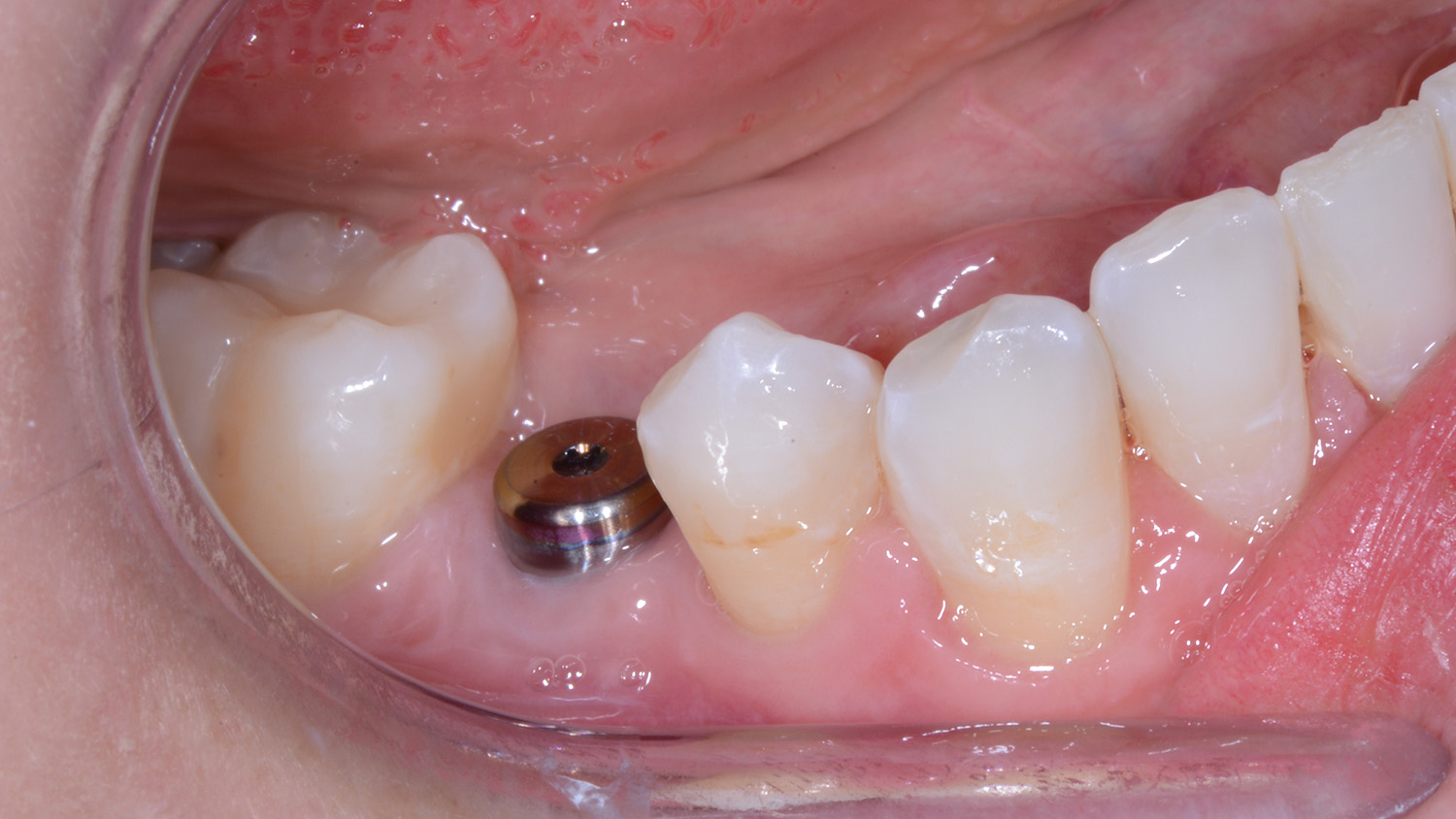
- Implant Body: The implant system starts with the body. You can think of the body as a sort of “screw,” and this is what we insert into your jawbone and allow to heal over time. The goal of the implant body is to replace the tooth root, which is no longer present due to your missing tooth. Implant bodies are either a cylinder or screw-like shape.
- Abutment: An abutment is the second portion of this medical device and is what fits into the implant body. You can think of the abutment as an extension of the implant that is only placed once the gums and bone have healed around the implant body. The abutment will connect the implant body to the crown.
- Crown: Finally, on top of the abutment will be the crown. Your crown is similar to a dental crown and is the portion of the implant that looks and functions as your missing tooth.
Knowing and understanding these terms is essential because, as you’ll see in the next section, dental implants are inserted in a series of visits. Each portion of the dental implant is crucial to its overall function and look.
Your Guide to The Dental Implant Procedure
Before any of the dental implant procedures can begin, we first need to examine your dental structure and analyze your jawbone. If you have adequate bone structure and oral health for your implant, we can then begin the procedure.
Step 1: Remove an Unextracted Tooth
If you have a tooth infection or damaged tooth that you plan to replace with an implant, we’ll need to extract the tooth. You may need to be on antibiotics while the infection clears and we’ll need to allow the area to heal.
It’s important that we allow enough time between the extraction for the healing process to complete.
Step 2: Preparation
A thorough examination of your dental health and X-rays will be taken to identify if there are any potential issues with getting a dental implant. We will take our time to conduct a full and thorough examination of your bone structure, too.
Your jawbone will be responsible for holding the implant in place and will need to heal around the implant body. If we find that you have too little or thin bone to support the implant, we may recommend a bone graft.
If your jawbone is found to be adequate, we will then:
- Numb the area of the mouth where the implant will be inserted
- Cut away some of the gum to access the underlying bone
- Drill into the jawbone to make room for the dental implant body
- Screw the dental implant body in place
- Stitch the area up and allow it to heal
Preparation is the first part of the dental implant procedure and will take the longest to complete.
Step 3: Healing
We’ve performed serious dental surgery and have inserted the implant body into your jawbone. But before we can proceed, the area of the implant must heal and allow the new “tooth root” to form.
How does the root form?
Your jawbone will heal around the insert and act as the “root” of the tooth. Unlike other forms of tooth replacement, an implant is as close to your natural teeth as possible because the bone fuses around it, making the crown very strong.
We’ll monitor your implant for any signs of infections or complications before moving on to the next step.
How long does it take to heal after the post has been inserted into the jawbone?
Most patients feel like themselves again after just two weeks. Healing can take 3 - 9+ months, but most people are 100% healed in the 3 - 6 month range. We’ll then need to make another incision and attach what is known as a “healing cap” on top of the stud.
Within just a few weeks, the healing cap can be removed from the stud.
The final crown will not be placed at this time because we want to allow the jawbone to heal.

Step 4: Place the Crown
After being allowed to heal, we can then move on to placing the abutment and final crown in place. We’ll spend time:
- Matching the crown’s color to your existing teeth
- Shaping the crown to fit into the tooth gap perfectly
- Making any adjustments necessary to fill in gaps or missing spaces
In some cases, patients may be able to have what is known as a one-stage process, eliminating the need to keep coming into the office. This process involves placing the implant post, abutment and a temporary crown.
What’s the benefit of the one-stage implant?
You don’t have to go through multiple incisions, nor will it be necessary to wait 3 - 6 months for the bone to heal before affixing the abutment and crown.
The downside? Since the healing process is skipped, there is a greater risk of complication.
What’s the Average Cost for a Dental Implant in Canada?
In 2026, the average cost to get a dental implant, when you don’t need a bone graft or other procedure beforehand, is $4,000 - $5,000 per tooth.
Paying for Your Dental Implants
Many insurance companies will not cover the cost of dental implants. The main reason for insurers denying coverage for implants is that they’re not considered “necessary” and are a “cosmetic procedure.”
Some insurers may cover a small portion of the procedure, and you may be able to obtain “full coverage” dental that will cover these costs under certain, predefined conditions. There are times when the insurer will not cover the surgery for the implant but will cover the cost of the:
- Bridge, or
- Crown
Who Isn’t a Good Candidate for Implants?
Unfortunately, there are some patients who are not good candidates for implants. These include:
- Children, teens and young adults. If your jawbone is still growing, implants are generally not recommended.
- Elderly patients, particularly those with significant jawbone loss.
- People with poor oral health.
- Individuals who smoke or chew tobacco.
- People with certain medical conditions, such as autoimmune disease, diabetes, osteoporosis, Parkinson’s and more.
Additionally, we’ll need to consider whether you have enough jawbone to support an implant. In this case, bone grafting or a sinus lift may be required.
Why Do Dental Implants Fail?
Dental implants have a 90-95% success rate, so failure is rare. But there are some factors that can cause dental implants to fail.
Some of the most common causes of failure include:
Peri-Implantitis
Peri-implantitis is the most common reason why dental implants fail, and it occurs when there is an infection in the jawbone around the implant.
Implants aren’t susceptible to tooth decay, but they can develop their own kind of gum disease. It occurs when bacteria and plaque cover the surface of the implant and make their way under the gumline.
Eventually, the gum tissue becomes inflamed, pulls away from the implant and leads to bone loss.
Sinus Rupture
Placing a dental implant in the upper arch can be challenging and should only be performed by an experienced implant dentist. Incorrect placement can lead to complications like sinus rupture, which occurs when the implant ruptures through the lining of the sinuses.
Sinus rupture can cause infection, pain and subsequent bone loss.
Caring for Your Dental Implants
You’ve gone through the entire dental implant procedure and finally had your permanent crown placed. Now what?
All of the hard work is done, but it’s important to take good care of your implants. Proper care will help prevent complications and maximize the lifespan of your crown.
Implants require the same diligent care that your natural teeth require.
You should be:
- Brushing at least twice a day
- Flossing once a day
- Scheduling cleanings twice a year
But there are also other steps you can take to care for your new implant.
Brush Gently with a Soft Brush
It’s important to be gentle when brushing your implant, and your normal toothbrush may be too stiff for the job. Soft toothbrushes have bristles that are flexible and gentle.
You may also want to use a Proxabrush to clean those hard-to-reach areas around the implant.
As a general rule of thumb, it’s best to avoid using a brush with stiff bristles because it can damage the surface of the crown.
Avoid Alcohol and Smoking
Quitting smoking and avoiding or limiting alcohol is not only good for your overall health but for your oral health as well. It’s even more important to reduce or eliminate your consumption of alcohol and to be smoke-free when you have implants.
It takes time for implants to heal. Drinking and smoking will extend that healing time.
Be Mindful of Your Diet
Eating a healthy diet can also help you maintain a healthy smile. To keep your implants looking their best, make sure that you also avoid or limit your consumption of sticky or hard foods, like:
- Ice
- Hard candy
- Dried fruit
- Hardshell tacos
- Apples
- Crusty bread
- Caramel
Hard or sticky foods can chip or damage your crown. Some sticky foods like caramel can actually cause your crown to fall out.
Lifespan of Dental Bridges vs Implants
Today, patients have several options when it comes to tooth restoration. One of the most popular alternatives to implants is dental bridges.
Due to their lower cost and quicker process, many patients are interested in bridges. But one of their top concerns is longevity.
How do dental bridges stack up against implants when it comes to lifespan?
How Long Do Dental Bridges Last?
Dental implants last, on average, 5-15 years or longer. With proper care, bridges can a long period as well. You can maximize the longevity of your bridges by:
- Brushing at least twice a day
- Flossing once a day, especially in the narrow space beneath the artificial tooth
- Coming into our office for regular exams and cleanings
- Avoiding hard foods or chewing on ice
Even with diligent care, you may need to replace or repair your bridge at some point in your lifetime.
How Long Do Dental Crowns on Implants Last?
At some point, the crown may need to be replaced due to normal wear and tear. Research has found that 50-80% of crowns need to be replaced within 15-20 years.
It’s important to remember that it’s just the crown that will be replaced. The implant itself shouldn’t need replacement.
Are You Interested in Dental Implants?
Dental implants are a permanent solution for tooth replacement and offer many benefits for patients. The procedure may be lengthy, but you’ll enjoy your new tooth for decades to come. Best of all, implants offer the most natural-looking replacement for teeth, so you can smile more confidently.






